
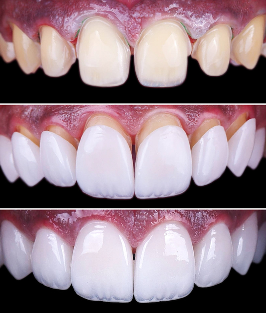
🦷 라미네이트 베니어
※라미네이트 베니어는 치아 앞면에 얇은 도자기 또는 복합수지 재료로 만든 얇은 판을 붙여서 치아의 색, 모양, 배열 등을 개선하는 심미치료 방법입니다.
📌 라미네이트의 특징
1. 얇은 도자기 판(보통 0.3~0.7mm)으로 치아 앞면을 덮습니다.
2. 변색된 치아, 깨진 치아, 틈새, 모양이 안 예쁜 치아 개선 가능
3. 치아 삭제량이 적거나 거의 없는 경우도 있지만, 일반적으로는 약간의 치아 삭제가 필요
4. 자연스러운 치아 느낌과 투명감, 색감 재현 가능
5. 내구성 좋고 변색에 강합니다.
✅ 라미네이트와 비슷한 치료법
● 치아 미백 : 치아 색만 밝게
● 치아 본딩 : 복합레진으로 치아 모양이나 색깔 개선 (라미네이트보다 얇고 약함)
● 크라운 : 치아 전체를 덮는 경우로, 손상 크거나 신경 치료 후 많이 약해진 치아에 사용
🛠️ 라미네이트 시술 과정
1. 진단 및 상담: 치아 상태 확인, 모형 및 사진 촬영, 원하는 색상 결정
2. 치아 전처리: 얇게 치아 표면을 삭제 (보통 0.3~0.7mm)
3. 인상 채득: 치아 본을 떠서 맞춤 라미네이트 제작 의뢰
4. 임시치아 부착 (필요 시)
5. 라미네이트 부착: 제작된 라미네이트를 치아에 접착제로 고정
6. 최종 다듬기 및 점검
⚠️ 장점과 단점
● 자연스러운 심미 효과 VS 치아 삭제가 필요
● 변색에 강합니다. VS 강한 충격에 깨질 수 있습니다.
● 착색 제거 효과 VS 비용이 상대적으로 높습니다.
● 비교적 빠른 치료 가능 VS 본인의 치아 상태에 따라 시술 제한