
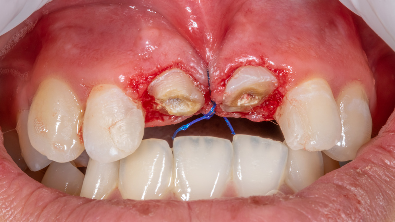
★치관 확장술은 치아의 잇몸과 뼈를 일부 제거하여 숨겨진 치아 부위를 더 많이 노출시키는 수술입니다. 주로 보철물(크라운 등)을 올바르게 씌우기 위한 준비, 또는 심미적 개선 목적으로 시행됩니다.
📌 치관 확장술이 필요한 경우
1. 충치가 잇몸 아래까지 진행된 경우: 크라운을 씌우려면 잇몸 아래 치아를 노출
2. 치아 파절이 잇몸 밑까지 간 경우: 보존 가능한 치아 구조 확보 목적
3. 잇몸이 너무 내려와 치아가 짧아 보이는 경우: 잇몸미소 개선
4. 치아 수복 전 적절한 마진 확보 필요: 생물학적 폭경 확보를 위한 수술
📐 생물학적 폭경이란: 치아와 잇몸 사이에는 자연스럽게 유지되는 최소 공간이 존재하며, 이는 면역 방어와 치주 건강에 중요합니다. 보철물을 너무 잇몸 가까이에 만들면 염증 유발 가능 → 치관 확장술로 마진 공간 확보
🔍 치관 확장술의 종류
1. 연조직만 절제: 잇몸만 일부 제거→ 주로 잇몸이 과도하게 덮인 경우
2. 연조직 + 골조직 절제: 잇몸 + 잇몸 아래 뼈 일부 제거 →충치나 파절이 깊은 경우 필요
3. 피판술: 잇몸을 절개해 젖힌 후 절제 및 조정 → 정확도 ↑
🛠️ 시술 과정 요약
1. 국소 마취
2. 잇몸 절개 및 치조골 확인
3. 잇몸 또는 뼈 일부 제거
4. 잇몸을 재위치시켜 봉합
5. 치유 후 보철 치료 진행 (보통 4~8주 뒤)
⏱️ 시술 시간 및 회복
●시술 시간: 30분 ~ 1시간
●실밥 제거: 보통 7~10일 후
●최종 보철 가능 시점: 연조직 안정화까지 보통 4~8주 후
🎯 장점
1. 보철물 마진 확보: 수복물의 접착 안정성 및 장기적 유지력 향상
2. 충치 또는 파절 치아 보존: 발치 대신 치아 살릴 수 있는 가능성 제공
3. 심미적 개선: 짧은 치아, 잇몸 웃음 교정 가능
⚠️ 단점 및 주의사항
1. 시술 부위 통증/붓기: 일시적이나 진통제 필요
2. 치아 시림 증상: 일시적으로 노출된 뿌리 부위 때문 (시간 지나며 완화)
3. 치근 노출: 길어진 치관이 보기 싫거나 감각 이상 유발 가능성
4. 흡연/당뇨 환자 주의: 회복 지연, 감염 위험 ↑