
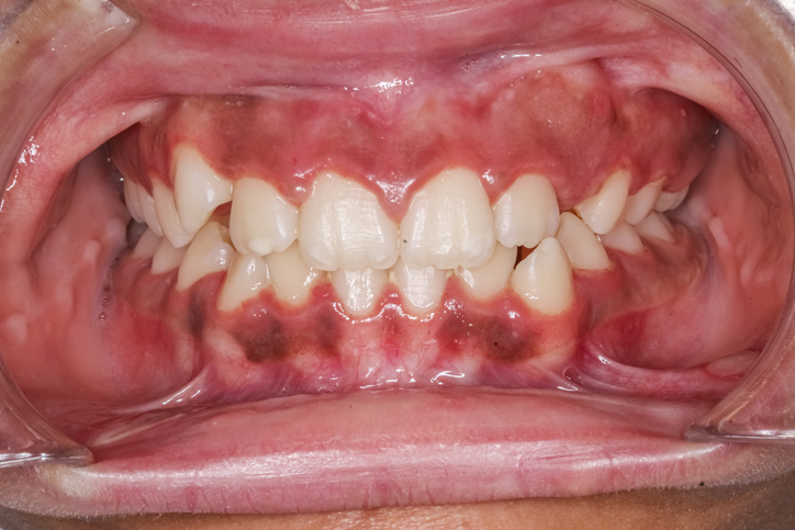
★잇몸 미백은 어두운 색(갈색 또는 검은색)으로 착색된 잇몸을 보다 밝고 건강한 분홍빛으로 되돌리는 치과 시술입니다. 이는 주로 심미적인 이유로 시행되며, 미소를 더욱 깨끗하고 건강하게 보이도록 도와줍니다.
✅ 잇몸이 어두워지는 이유
-잇몸 색이 어두워지는 원인은 다양합니다.
1. 멜라닌 색소 침착
●피부에 멜라닌이 많듯이, 잇몸에도 멜라닌이 많이 분포하면 어두운 색으로 보일 수 있습니다.
●유전적 요인이 큼니다. (특히 동양인, 흑인 등)
2. 흡연
●니코틴이 잇몸의 혈류를 감소시키고 멜라닌 침착을 증가시켜 색이 어두워집니다.
3. 금속 보철물에 의한 변색
●금속 크라운이나 보철물이 잇몸에 영향을 줘서 검게 보이는 경우
4. 약물 부작용
●특정 약물(예: 항말라리아제, 미노사이클린 등) 복용 시 착색 가능
🦷 잇몸 미백 시술 방법
1. 레이저 미백 (가장 흔한 방법)
●멜라닌 색소층을 레이저로 제거
●시술 시간 짧고 회복도 빠릅니다.
●통증은 비교적 적지만 사람에 따라 약간의 불편감 가능
2. 화학 박피술 (케미컬 피링)
●화학 용액(예: 페놀, 알코올 등)을 잇몸에 발라 색소층을 벗겨냅니다.
●레이저보다는 덜 정밀하지만 비용이 저렴할 수 있음
3. 기계적 제거 (커터 등)
●색소층을 물리적으로 제거하는 방법
●과거에 많이 사용되었지만, 현재는 레이저에 비해 사용 빈도가 낮습니다.
⚠️ 시술 후 주의사항
1. 시술 직후 잇몸이 하얗게 일시적으로 변색될 수 있습니다. (정상 반응)
2. 1~2주 후 자연스럽게 분홍빛 잇몸으로 회복됩니다.
3. 시술 후 흡연, 자극적인 음식, 음주 등을 피하는 것이 좋습니다.
4. 1회로 끝나는 경우도 있지만, 색소가 깊은 경우 2~3회 필요할 수 있습니다.
⛔ 재발 가능성
●멜라닌은 시간이 지나면 다시 생길 수 있으므로 재발 가능성이 있습니다.
●특히 흡연자는 재발률이 높습니다.
●평균적으로 1~3년 사이에 다시 착색될 수 있습니다.