★치과 엑스레이는 치아와 턱뼈, 잇몸 속 구조를 촬영해 눈에 보이지 않는 문제를 진단하는 데 매우 중요한 도구입니다. 종류에 따라 보는 부위와 목적이 다르며, 치료 계획 수립에도 꼭 필요합니다.
🦷 치과 엑스레이 종류와 설명
1. 파노라마 엑스레이

①한눈에 전체 확인: 위아래 모든 치아, 턱뼈, 부비동(코 옆 공간) 등을 넓게 촬영
②용도
●사랑니 위치 확인
●턱뼈 이상
●큰 충치나 낭종(물혹)
●전체 치아 상태 확인
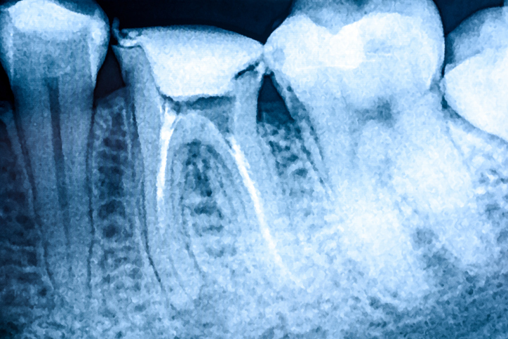
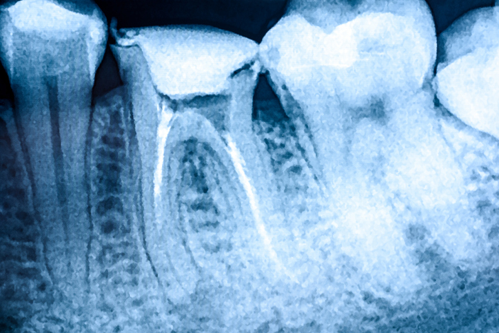
2. 페리어피컬 엑스레이

①특정 치아의 뿌리까지 자세히 촬영
②용도
●충치의 깊이 확인
●뿌리 염증(치근단 농양 등)
●신경치료(근관치료) 필요 여부 확인
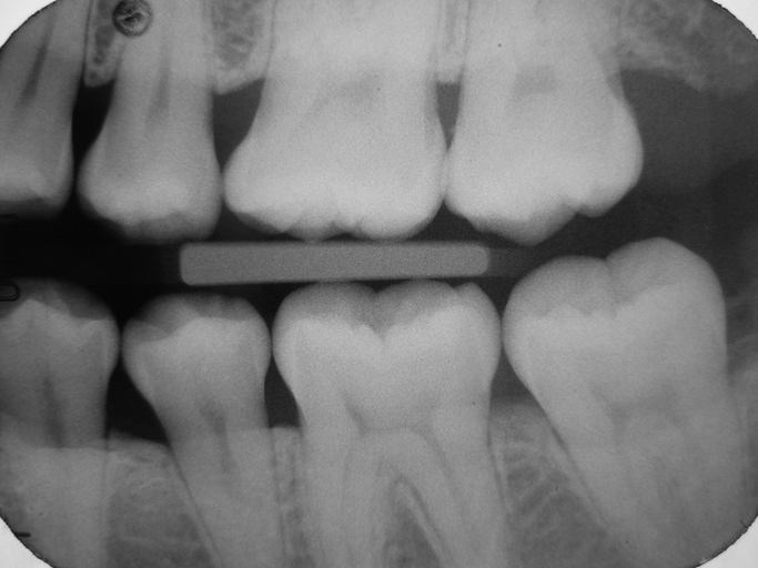
3. 바이트윙 엑스레이

①상하 치아의 교합면(씹는 면)을 동시에 촬영
②용도
●인접면 충치 확인 (치아 사이 충치)
●보철물 상태 확인
●초기 잇몸뼈 흡수 확인
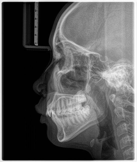
4. 세팔로 엑스레이

①두개골 측면을 촬영
②용도
●교정 치료 계획 수립
●턱 위치/비대칭 분석
5. CT

①3D 입체 영상
②용도
●임플란트 식립 계획
●신경관 위치 확인
●낭종, 종양, 턱관절 질환 진단 등 정밀 진단
※치과 엑스레이의 방사선량은 매우 낮습니다.(예: 파노라마 1회 ≈ 일상생활에서 하루 동안 받는 자연 방사선 수준)
※임산부도 경우에 따라 복부 차폐 후 촬영 가능 (단, 주치의 상담 필수)
📌 정기 촬영 권장
1. 성인: 1~2년에 한 번
2. 충치 위험 높은 경우: 더 자주
3. 교정, 임플란트, 신경치료 시: 필요에 따라 촬영